815 17th St, Vero Beach, FL 32960
TOP RATED in Vero Beach, FL
5,000+ Happy Patients

Limited Offer: Complimentary Dental Implant Assessment

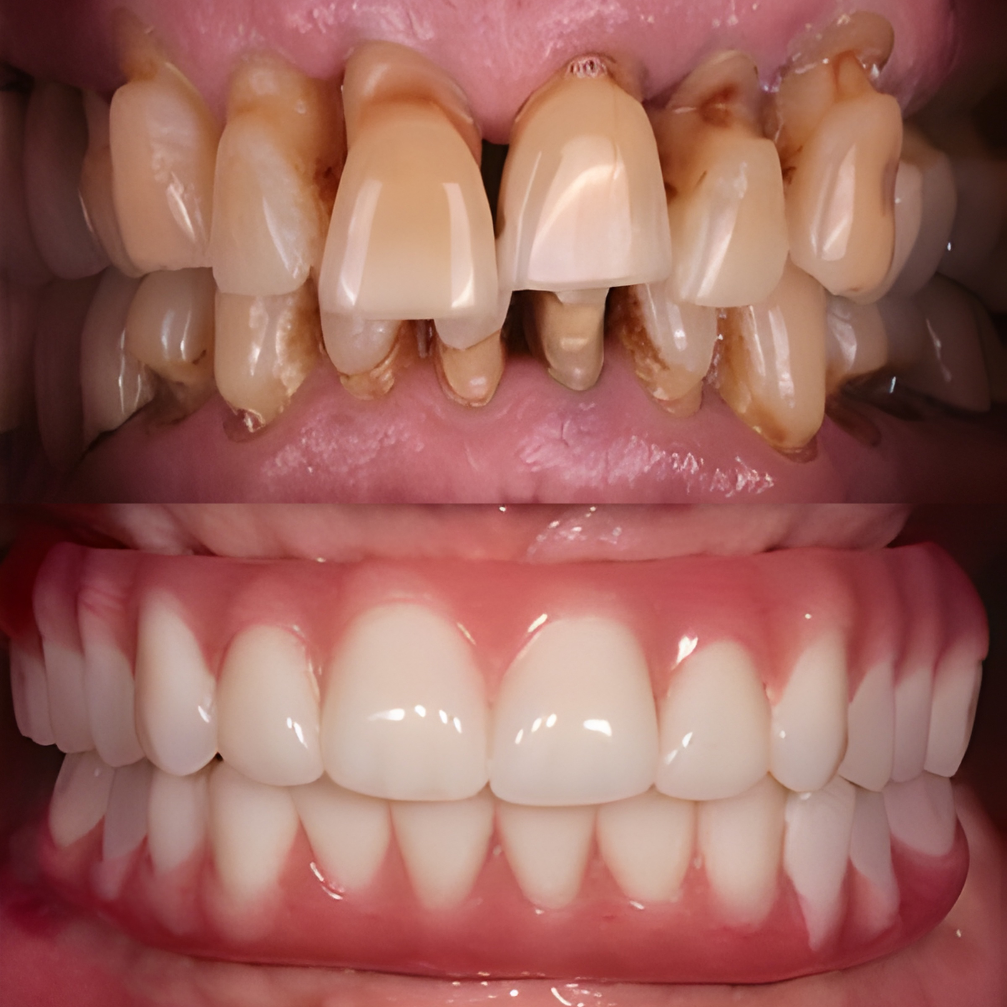
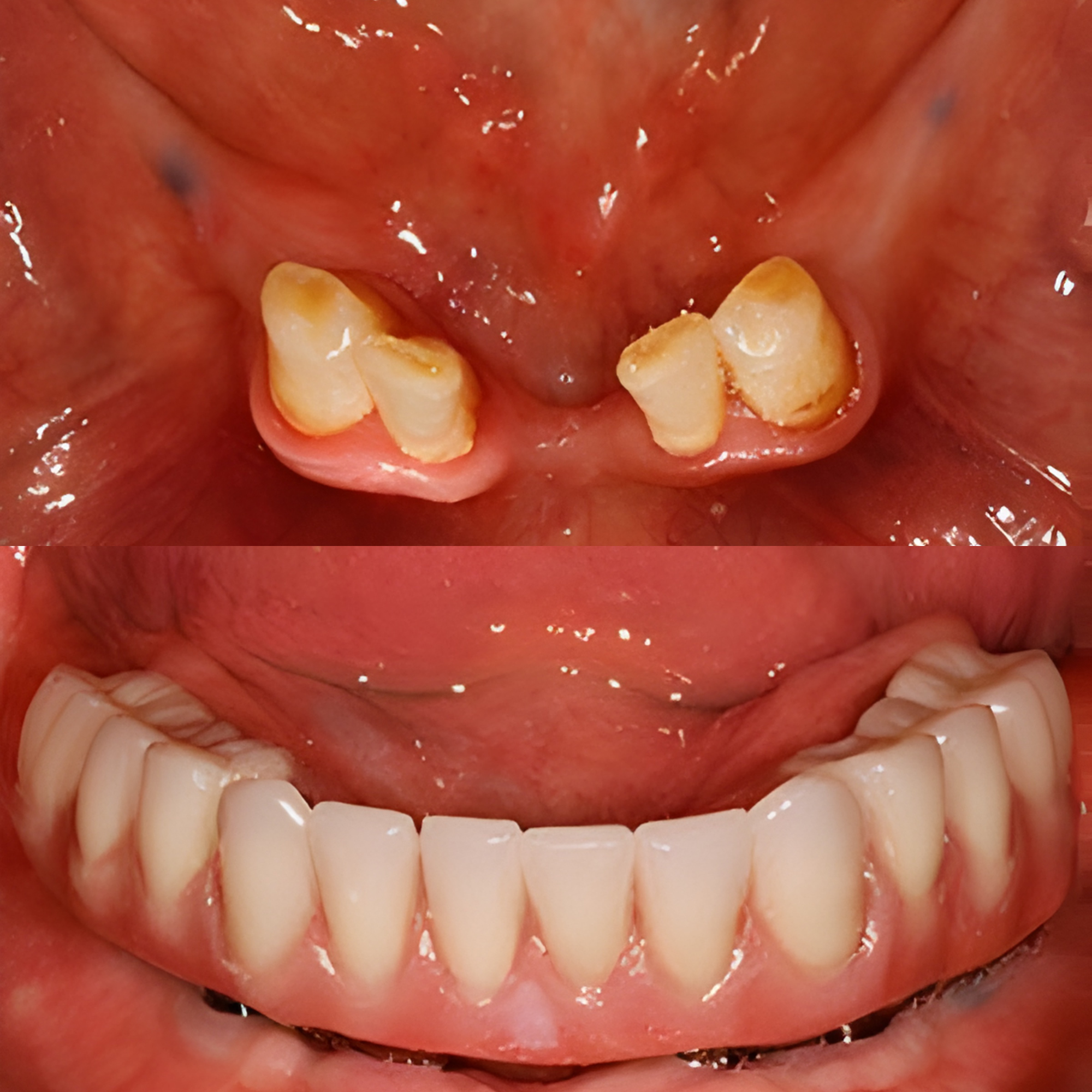
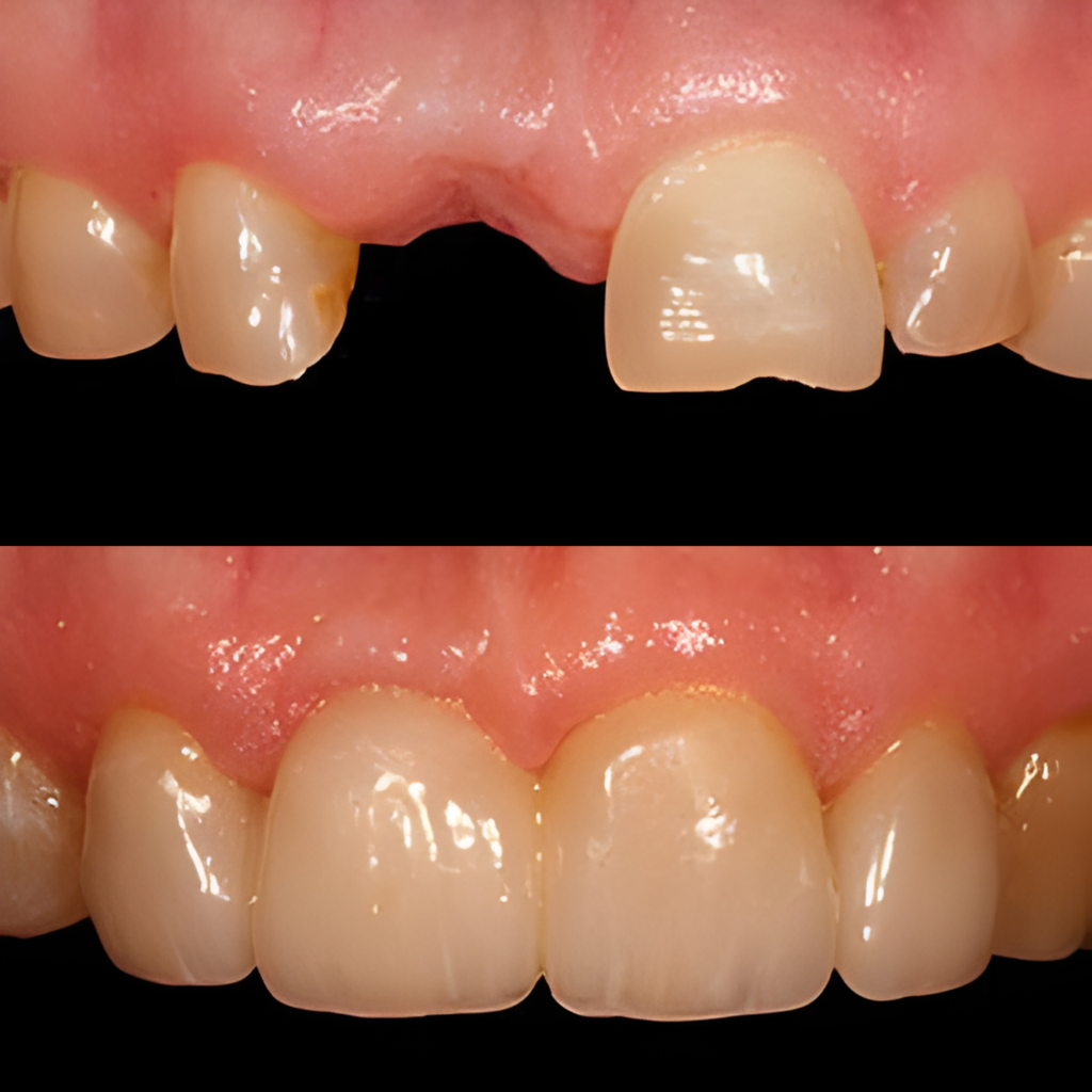
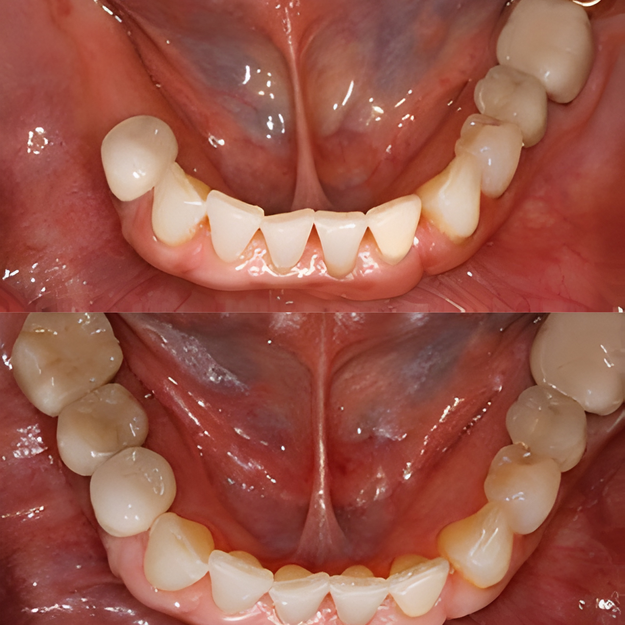
Transform Your Life with Full Mouth Dental Implants

Smile, eat, and live with confidence again. Dr. Adam Jones has helped patients across Florida restore their smiles with permanent, natural-looking full mouth dental implants — with same-day treatment options available

From Struggling to Smile To Living Life Fully Again

Watch inspiring stories of renewed smiles and renewed lives.

Meet Dr. Adam Jones

With well over a decade of experience in the dental field so far and a wealth of advanced training in prosthodontics too, Dr. Jones has the tried-and-true clinical expertise that patients can rely on. He loves going to work every day and sharing cases with his beautiful wife, Dr. Giuliana Diaz Jones, as they strive towards their shared goal of helping every person who walks through their dental office door smile brighter. To learn more about him, continue reading below. After attending Florida Southern College for his undergraduate degree, Dr. Jones accomplished his Doctor of Dental Medicine at the University of Florida College of Dentistry. He then went on to complete a Master of Science and a residency program in prosthodontics to further elevate his skills. Today, he is a member of the American College of Prosthodontists and the Academy of Osseointegration.

Dr. Jones and his beautiful wife and co-owner of Premier Dental, Dr. Giuliana Diaz Jones, have two amazing children together named Ana and Samuel. In his free time, he enjoys golfing, cooking for his family, playing the guitar, participating in sports with his children, lounging on the beach, and fishing. In fact, while fishing on the beach during a recent summer, he caught a 9-foot sawfish!

What Sets Dr. Jones Apart

Meet Dr. Giuliana Diaz Jones

Dr. Giuliana’s career in the dental field spans over two decades so far, and she loves working and collaborating with her amazing husband every day at Premier Dental. Helping patients smile brighter and achieve the lasting confidence they deserve is always a rewarding feeling for her. Dr. Giuliana is originally from Bogota, Columbia, and she received her dental education from El Bosque University in the very same city. She then pursued her specialty prosthodontics training at Nova Southeastern University and also completed a Fellowship in implantology at the University of Florida College of Dentistry. She is currently a member of the American College of Prosthodontists and the Academy of Osseointegration.

Dr. Giuliana’s late mother actually worked in the healthcare industry throughout her life, and this close interaction gradually drew her into the field over time. She eventually decided that she wanted to help people for her career, and the dental field seemed like the perfect fit for her talents. Today, she can’t imagine doing anything else.

What Sets Dr. Giuliana Diaz Jones Apart

Implant Solutions Tailored to Your Smile

Using advanced technology, we create natural-looking teeth that feel secure and function for years to come.

Implant-Retained
Bridge

Implant-Supported Overdentures

All on Four
Teeth in a Day

Experience the Premier Dental Advantage

Premier Dental Other Offices in FL
✅ Board-Certified Prosthodontist with advanced specialty training
❌ General dentists without prosthodontic specialization
✅ 10+ years of advanced specialty training in prosthodontics
❌ Limited advanced training
✅ 1,500–2,000 dental implants placed
❌ Lower implant case volume
✅ Comprehensive implant procedures performed fully in-house
❌ Requires outside referrals for surgery or restorations
✅ All-digital workflow for precision and efficiency
❌ Traditional or partially digital systems
✅ In-house lab for faster, high-quality restorations
❌ Fully outsourced lab work
✅ Customized, patient-specific restorations by prosthodontic specialists
❌ Standardized treatment outcomes
✅ Active member of leading implant and prosthodontic organizations
❌ Limited professional affiliations
✅ Collaborative specialist team approach for complex cases
❌ Single-doctor or fragmented care approach

Your Journey to a New Smile

A proven process combining world-class expertise with personalized, compassionate care.

01

Meet Our Team & Receive

Your Complimentary Dental Implant Assessment

Your journey begins at Premier Dental with a Personal Consultation with our Treatment Coordinator. During your visit, you’ll receive a Complimentary Dental Implant Assessment so you can clearly understand your unique needs and available treatment options right from the start.

02

A Personalized Plan

Designed Around You

No two smiles or patients are alike. With over 20 years of implant experience and advanced planning technology, Dr. Adam Jones crafts a treatment plan tailored to your health, goals, and budget. You’ll know exactly what to expect, every step of the way.

03

Transform Your Smile

In Just 1–2 Days

Patients leave our office with a brand-new, fully functional smile in as little as one to two days. Whether you choose implant-retained dentures, an implant bridge, or our advanced All-on-4/6 solution, your results are designed to look natural, feel comfortable, and restore lasting confidence.

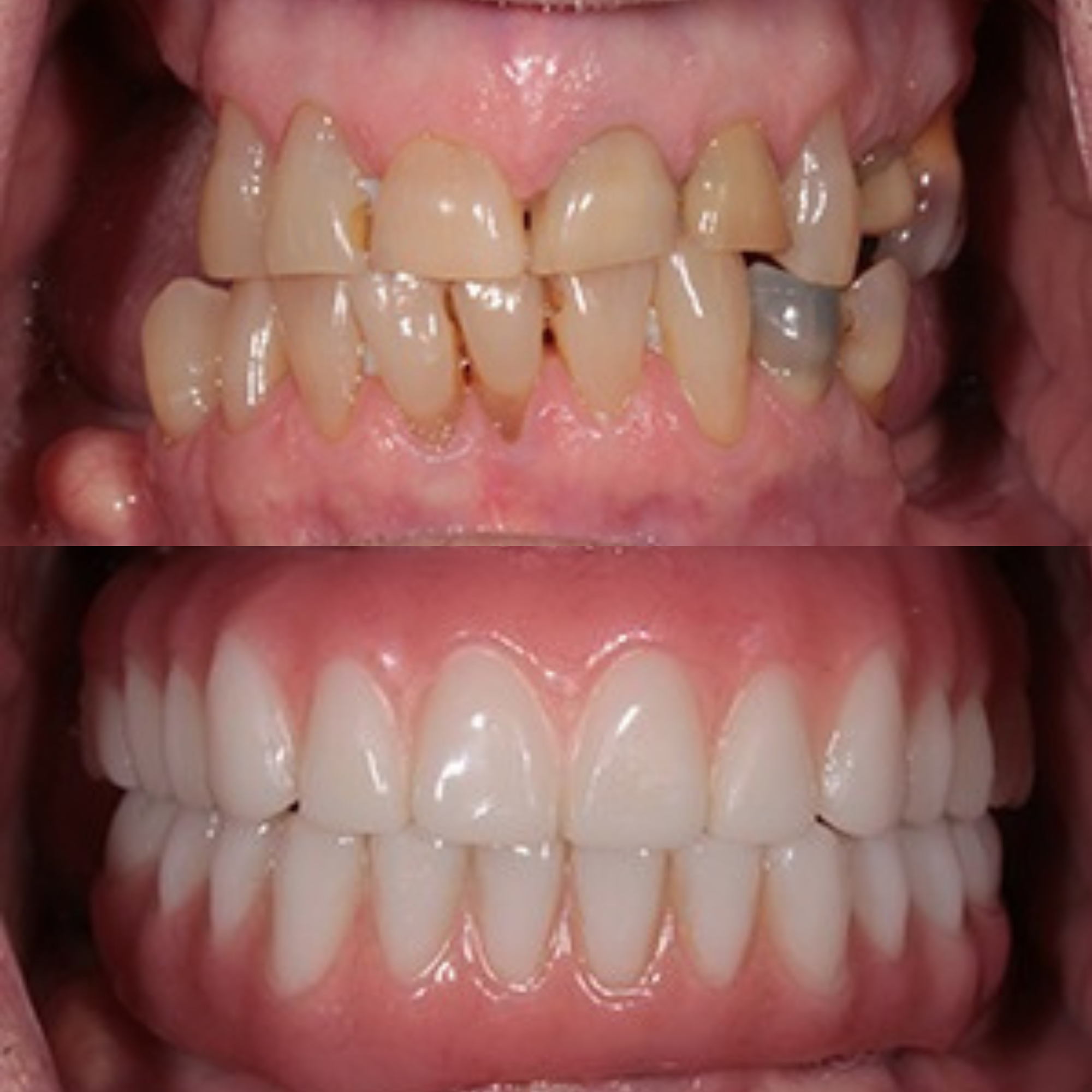
Life-Changing Results

A proven approach shaped by experience and success

Top 5 FAQs for Premier Dental

At Premier Dental, many patients receive fully functioning teeth in just 1–2 days with our Teeth-in-a-Day treatment. Dr. Adam Jones uses advanced 3D technology to plan and deliver same-day results that are strong, natural, and long-lasting.

Dr. Adam Jones has 20+ years of experience and elite credentials. Unlike general dentists who occasionally place implants, our practice is dedicated to full mouth restoration and advanced implant care.

Most patients are pleasantly surprised at how comfortable the experience is. With modern sedation, gentle techniques, and Dr. Jones’ expertise, discomfort is kept to a minimum — and recovery is often faster than expected.

Every smile is unique, so costs vary depending on your treatment plan. That’s why we offer a Complimentary Dental Implant Assessment. You’ll get a clear, personalized treatment plan and affordable financing options before starting.

Absolutely. Each implant restoration is custom-designed to fit your face, bite, and smile goals. Patients often say their implants look so natural that friends and family can’t tell the difference — and they can finally eat, laugh, and smile with confidence again.

Contact Us

Copyright © 2026 Premier Dental | All rights reserved.